bg
搜索
简
APP
主页 > 国际 > 中港台

心脏病

文 文 文

闹钟响就抽搐 小六女猝死 电击22次抢命 

(台北20日综合电)台湾台中市一名就读小六的12岁女童小涵(化名),近两年常在清晨睡梦中大叫,只要听到闹钟声响就会全身僵硬抽搐,年初小涵又再度发作,妈妈原先以为她会自行恢复,只是已出现心因性猝死,紧急送往中国医电击22次才捡回一命,事后经诊断,小涵患有遗传性心律不整的“长QT症候群”,诱发“多型性心室频脉”。

据了解,小涵听到闹钟响,就会在梦中突然大叫,且全身强直痉挛,为此受困已长达两年,今年初小涵状况相当严重,妈妈以为她会像之前一样,1到2分钟就会自行苏醒,没想到这次特别严重,一度因为抽搐时间过长,出现心因性猝死,紧急送往中国医抢救,短短40分钟内电击7次,给予药物又无法稳定,医生紧急安装叶克膜,并放置右心室导线进行过速激发治疗,又再历经15次电击,这才让小涵生命状况才稳定下来。

小六女童听到闹钟半夜尖叫、痉挛,状态持续2年,为罹患罕见心脏病。
小六女童听到闹钟半夜尖叫、痉挛,状态持续2年,为罹患罕见心脏病。

中国医药大学儿童医院儿童心脏科医生戴以信表示,小涵是罹患“KCNH2基因相关的长QT症候群所诱发多型性心室频脉”,戴以信说明,长QT症候群是罕见心律不整疾病,可能造成的基因突变约有15种,起因于心脏肌肉细胞表面膜电位离子通道异常,造成“早期后去极化”效应,进而产生诱发多型性心室频脉。

戴以信也进一步解释,此类患者多半会以不明原因而导致晕厥,也可能会抽筋,他推测小涵早上起床大叫及进入无意识全身痉挛,因是手机与闹钟导致,于是建议改为震动,以降低诱发抽搐发作。

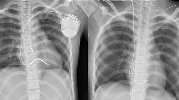
而戴以信表示,已帮小涵装设体内去颤器,以防心律不整时电击救命,并规则服药控制,她住院1个月后出院,重回校园上学,没有留下脑缺氧、认知功能异常等后遗症。中医大儿医儿童及超音波中心副院长谢凯生也提醒,孩童遇到不明原因“晕厥”或“抽搐”,应尽速至医疗院所儿童心脏科就医,检查是否有尚未发现的心律不整,并接受适当的治疗。

文:综合报导
图:互联网


更多不可错过的热门新闻,请到中国报官方WhatsApp平台!
加入中国报官方Telegram:https://t.me/chinapressonline

高兴
高兴
惊讶
惊讶
愤怒
愤怒
悲伤
悲伤
关怀
关怀

心脏病

相关文章

健康百科|捐血好处比想象的多

银发乐活|老人早餐乱吃 心脏病风险Up

恶霸租客拳打脚踢 保安员出院后 心脏病发去世

突然心脏病发 官员毙命车内

心脏病不止会胸痛胸闷 长者症状更是隐秘

开车撞到心脏科医生办公室 男子心脏病发 侥幸获救

mywheels